Confeccionamos carillas ultrafinas que permiten colocarlas haciendo tallados mínimamente invasivos o, incluso, sin necesidad de tallar.
Las carillas dentales nos permiten conseguir una sonrisa perfecta en poco tiempo, modificando la forma, color, tamaño y/o posición de los dientes. Son bastante finas, de un grosor menor a 1 mm, y se colocan en la superficie de los dientes que queremos mejorar.
Dra. Fraile - Directora médica especialista en estética dental
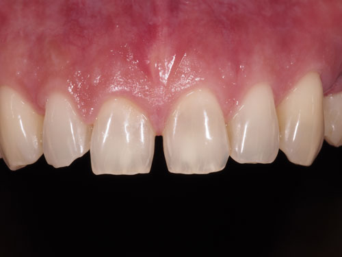
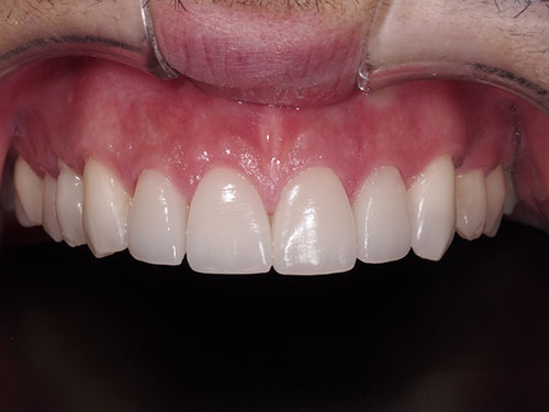
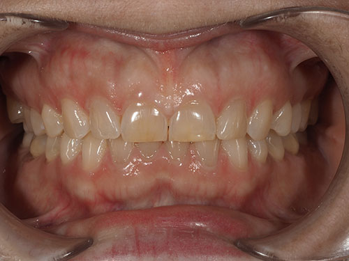
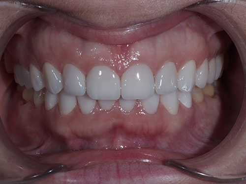
Estos son algunos casos de antes de empezar el tratamiento de carillas dentales y una vez finalizado








01
Con diseño clínico incluido.
02
Colocamos las carillas dentales sin necesidad de tallar tus piezas dentales.
03
Planificamos digitalmente tu caso para ofrecerte un resultado personalizado e impecable.
04
Sus resultados son muy estables en el tiempo.
05
El tratamiento se desarrolla entre 1 a 3 citas.

Tomamos fotos e información del paciente para diseñar su sonrisa ideal y simular cómo será el resultado final.Además, preparamos un encerado (o mock up) a partir del cual obtendremos una prueba de las futuras carillas.

Gracias a la simulación veremos el resultado final. Si todo está correcto, escaneamos la boca del paciente para encargar sus carillas finales.Si las carillas que va a usar son de cerámica las encargaremos al laboratorio y si son de composite las confeccionamos nosotros directamente.

Las carillas de composite se construyen directamente en boca modelando el composite y endureciéndolo mediante una lámpara de fotopolimerizar. En el caso de las carillas cerámicas estas vienen confeccionadas de laboratorio y se adhieren al diente mediante una técnica adhesiva.
Son finas láminas de cerámica o composite que se adhieren a la superficie externa del diente, mejorando su estética para conseguir la sonrisa que siempre has deseado.
Las carillas dentales no requieren de una acción directa sobre los dientes, ya que tan solo se adhieren de forma no agresiva a los dientes.
Son la solución perfecta para aquellos pacientes que desean una sonrisa más atractiva y natural sin tener que someterse a tratamientos invasivos.
En Clínica Castelo, nos especializamos en la colocación de microcarillas de alta calidad, diseñadas a medida para cada paciente, lo que asegura un resultado que se integra perfectamente con la dentadura natural.
Con nosotros encontrarás una Clínica dental y estética con más de 9 años de experiencia en el sector.
Para nosotros cada paciente es único y su confianza es nuestro mayor tesoro. Queremos superar siempre sus expectativas y nos enorgullece que compartan su satisfacción con su nueva sonrisa.
Nos puedes encontrar en el centro de Madrid, en la calle del Dr Castelo, 33, accesible tanto por bici como por coche.
Dispondrás del mejor equipo médico estético, que está formado por profesionales en activo con amplia experiencia y reconocimiento nacional.